Diseño de Sonrisa en Quito – Ecuador
Elige la mejor especialista en estética dental en Quito, consigue una hermosa y natural sonrisa ![]()
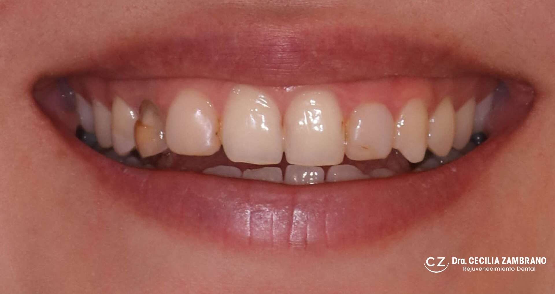
Antes
DespuésEl Diseño de Sonrisa es Nuestra Especialidad
Estamos a la vanguardia del diseño de sonrisa en Quito, Ecuador. Nuestra especialista en Rehabilitación Oral y Estética Dental, Dra. Cecilia Zambrano, es una destacada odontóloga que cuenta con 15 años de experiencia profesional diseñando hermosas sonrisas con apariencia natural.
A su clínica odontológica han acudido pacientes de Ecuador, como también EEUU, Canadá y España, quienes han confiado en su talento, arte y precisión para obtener lindas sonrisas en poco tiempo y con excelentes resultados.



Servimos a pacientes de EE.UU. Canadá y España
La Dra. Cecilia Zambrano ofrece servicios de Rehabilitación Oral y Diseño de Sonrisa en Quito, Ecuador. Pacientes de diferentes nacionalidades han viajado hasta Quito para llevar a cabo su procedimiento dental en un ambiente confortable, inclusivo y acogedor.
La especialista, Dra. Cecilia Zambrano cree que cada paciente merece verse y sentirse lo mejor posible. Nuestro diseño de sonrisa personalizado puede ayudar al paciente a lucir más joven, reparar una lesión dental, mejorar las características existentes o remodelar por completo su sonrisa con alta calidad de servicio y a precios atractivos.
El procedimiento odontológico se lo realiza bajo previa cita y en consulta privada. Agenda tu cita virtual inicial para contarte más detalles de cómo podemos ayudarte a lograr una inolvidable sonrisa.
Envía ahora un mensaje por WhatsApp al+593 99 879 3351. Estaremos gustosos de poder atenderte!
Los Resultados Hablan Por Sí Solos
El destacado trabajo odontológico de la Dra. Cecilia Zambrano ha transformado la vida de muchos pacientes, creando hermosas sonrisas que han devuelto la confianza y realzado la autoestima de sus pacientes.


¿Por qué realizarse un Diseño de Sonrisa en Quito, Ecuador?
El destacado trabajo odontológico de la Dra. Cecilia Zambrano ha transformado la vida de muchos pacientes, creando hermosas sonrisas que han devuelto la confianza y realzado la autoestima de sus pacientes.
Después
Antes
Oportunidad de diseñar tu sonrisa con una Odontóloga Estética altamente entrenada y con más de una década de experiencia.
Tu sonrisa estará hecha a tu medida. La Dra. Cecilia Zambrano te acompañara durante todo el proceso yhará lucir tu mejor versión.
Durante el tratamiento, se aplicarán técnicas de cosmética dental de vanguardia a nivel internacional.
El diseño de sonrisa en EEUU, Canadá y España requiere de una alta inversión. Ecuador es una excelente alternativa en Latinoamérica, por la alta calidad de servicios odontológicos que ofrece y su fácil acceso desde cualquier parte del continente.
Mientras realizas tu tratamiento odontológico podrás disfrutar de Quito y alrededores.
¿Cómo escoger el mejor especialista en Diseño de Sonrisa en Quito, Ecuador?
Si estás considerando un diseño de sonrisa y quieres lograr los mejores resultados, no bases tu decisión únicamente en el precio ya que un tratamiento dental difiere de un paciente a otro. Es recomendable conocer muy bien la trayectoria del odontólogo/a y basar tu decisión en los resultados obtenidos con anteriores pacientes y chequear sus credenciales médicas que acrediten su habilidad para realizar este tipo de procedimientos estéticos.


Conoce a nuestra especialista de Diseño de Sonrisa

La Dra. Cecilia Zambrano es una profesional graduada en Odontología en la Universidad de Cuenca, Ecuador (2007), sus estudios de posgrado los culminó exitosamente en la Universidad Central del Ecuador (2011). Cuenta con capacitaciones continuas en España, México, Colombia y Argentina. Adicionalmente, ha realizado cursos de estética, fotografía, diseño digital, rehabilitación sobre implantes y formaciones continuas sobre adhesión dental a los diferentes sustratos dentales.
En la práctica, la Dra. Cecilia Zambrano, obtuvo su experiencia profesional colaborando en prestigiosas clínicas odontológicas en Quito, Ecuador. Al pasar de algunos años, la Dra. Cecilia Zambrano, consciente de brindar un servicio personalizado y no masivo, abre su propia clínica odontológica, para brindar un servicio VIP a sus pacientes.
Durante la consulta inicial, la Dra. Cecilia Zambrano se preocupa de escuchar tus necesidades y expectativas para poder crear un tratamiento que se adecue a tu caso particular y lograr una atractiva sonrisa que mejor se alinee a la fisonomía de tu rostro.
Planificación Digital de Sonrisa con Scanner Intraoral
¿Qué tipos de Tratamientos se Realizan para Lograr una Linda Sonrisa?
Para lograr una sonrisa estética, natural y sana intervienen diferentes tratamientos:
DISEÑO DE SONRISA MEDIANTE CARILLAS DENTALES
Las carillas dentales son elaboradas de porcelana, resina, polividrio (Carillas Lumineers). El procedimiento consiste en colocar láminas hechas de los materiales antes mencionados sobre la superficie visible de los dientes, con ésto se mejora el color, la forma, el tamaño y ligeras malposiciones dentales.
DISEÑO DE SONRISA MEDIANTE IMPLANTES DENTALES
Ante la pérdida de uno, varios o todos los dientes, los implantes dentales buscan devolver la estética y sin duda alguna la función masticatoria.
Dentro de estos procedimientos tenemos a las prótesis sobre implantes ALL-ON-FOUR, ALL-ON-SIX


Prótesis soportadas únicamente con dos implantes: SOBREDENTADURA
DISEÑO DE SONRISA MEDIANTE LA ORTODONCIA
La utilización de ortodoncia ayuda a mejorar la posición y la función de los dientes, logrando su adecuada alineación dentro del arco dental.
DISEÑO DE SONRISA MEDIANTE UN BLANQUEAMIENTO DENTAL
Mediante el blanqueamiento dental se mejora el color de los dientes con la aplicación de geles a base de peróxidos.
DISEÑO DE SONRISA MEDIANTE CORONAS DENTALES, FULL MOUTH:
Cuando los dientes se encuentran muy deteriorados debido a caries, muy restaurados, probablemente no sea factible colocar carillas dentales. En estos casos, la mejor recomendación es proceder con coronas dentales, para este procedimiento realizamos un desgaste o tallado de los dientes y posteriormente los vamos a cubrir con las coronas y así poder recuperar la forma, tamaño y función de los dientes.


El Diseño de Sonrisa te brinda la posibilidad de realzar tu belleza, recuperar tu confianza al sonreir y te abrirá puertas a nuevas oportunidades. block. Click edit button to change this text. Lorem ipsum dolor sit amet, consectetur adipiscing elit. Ut elit tellus, luctus nec ullamcorper mattis, pulvinar dapibus leo.
¿Cómo se Realiza un Diseño de Sonrisa?
La Dra. Cecilia Zambrano, es una profesional especializada en Odontología Estética. Su experiencia de 15 años y habilidad ha permitido a un sin número de pacientes disfrutar de una hermosa sonrisa en corto tiempo.
En su consultorio dental, los pacientes son atendidos con la mejor tecnología brindándoles la mejor experiencia en su tratamiento dental.
El proceso para que un paciente fuera de Ecuador pueda realizarse un diseño de sonrisa en Quito, Ecuador con la Dra. Cecilia Zambrano, es el siguiente:
Pasos iniciales:
- Agendamiento de videollamada gratuita por medio de WhatsApp +593998793351.
- Para llevar a cabo la cita virtual, se necesita unas fotografías de la parte interna de la boca, para ello enviaremos un video demostrativo.
Antes de la primera cita virtual:
- Tomar con tu celular fotografías de tus dientes de acuerdo al video demostrativo. (VIDEO en YouTube)
Durante la primera cita virtual:
- Se analiza cuál es el motivo de consulta, expectativas del paciente y que es lo que busca mejorar en su sonrisa.
- Se presentan diferentes opciones para su diseño de sonrisa.
- Se indica el plan de tratamiento a seguir.
- Se da a conocer la inversión total del tratamiento elegido y métodos y facilidades de pago.
- Una vez aceptado el plan de tratamiento por parte del paciente, se requerirá un abono del 20% del costo total del tratamiento acordado, para bloquear las fechas e iniciar el tratamiento.
- El abono NO será reembolsable, si el paciente desiste del tratamiento.
- Se informa al paciente la cantidad de citas necesarias para llevar a cabo el tratamiento dental )fecha de inicio, fecha de culminación, fechas de controles).
- Se solicita el envío de una fotografía de la confirmación de los tickets aéreos.
Durante el Procedimiento:
- Una vez en Quito, realizarse una radiografía panorámica (proveeremos un listado de centros radiológicos).
- Durante la primera consulta, se elabora el diseño de sonrisa digital y maquetas (mock-up) para alinear la sonrisa perfectamente con la simetría del rostro.
- En base a la proyección de la sonrisa digital, los pacientes tienen oportunidad de apreciar la forma, el tamaño, la posición, color de los nuevos dientes, y es así como juntos llegamos a una sonrisa final que más se ajuste a las necesidades y expectativas de cada persona.




